병원소개

첨단장비소개

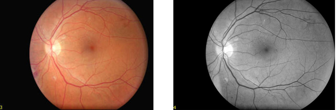
안저촬영검사 (CR-2)

CR-2

시신경 및 망막의 상태를 촬영하는 무산동 안저카메라로, 필터를 사용하여 망막신경섬유층 촬영도 가능하므로 녹내장 및 망막 질환의 진단에 사용되는 검사장비.

약1800만 화소의 높은 해상력의 디지털 카메라로 안구 내부의 망막을 촬영하는 장비로, 시신경 및 망막질환에 대한 조기검진 및 진행 상태를 진단하는 장비입니다. LED 광원을 사용해 환자 눈에 전달되는 빛의 양이 적어 촬영이 편리하고, 동공 확대를 위한 마취가 필요 없어 작동하기가 아주 간편하고 Digital Camera를 장착하여 PC에서 이미지를 관리 할 수도 있는 최신 장비입니다.
안저촬영검사(CR-2) 영상
TOP