안질환 클리닉

녹내장

녹내장이란

시각정보를 뇌로 전달하는 데 중요한 역할을 하는 시신경 및 시신경섬유층의 손상이 진행되어 시야가 점점 좁아지는 무서운 질환입니다. 전세계적으로 백내장, 당뇨성 망막증과 함께 실명의 큰 원인을 차지하며, 예방할 수 있는 실명의 가장 큰원인질환입니다. 또한 빈도도 전 인구의 2%정도로 가장 흔한 만성 성인안과 질환 중 하나입니다.

녹내장은 안압상승 및 안혈류의 장애로 인한 것으로 생각되어지고 있습니다.

녹내장 원인 및 위험인자

- 녹내장의 원인

녹내장의 원인은 정확하게 밝혀지지 않았으며, 아래의 위험요인이 있는 사람은 반드시 녹내장 정밀검사를 통해서 조기진단이 아주 중요합니다.

- 녹내장에 걸릴 확률이 높은 사람

  • 연령이 40세 이상인 사람, 고도 근시인 사람
  • 건강검진상 안압이 높거나 시신경 유두에 이상이 발견된 사람
  • 녹내장 가족력이 있는 사람
  • 당뇨병, 고혈압 등 전신혈관계 질환이 있는 사람
  • 편두통이 지속적으로 반복되는 사람
  • 장기간 스테로이드를 점안하거나 복용하는 사람
  • 녹내장 정밀검사를 통해서 녹내장 여부를 확인하는 것이 필요합니다.
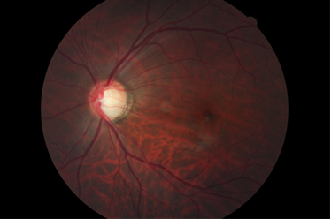
녹내장으로 파괴된 시신경 사진<녹내장으로 파괴된 시신경 사진>

녹내장의 증상

전체 녹내장의 10%를 차지하는 급성 녹내장의 경우 시력감소, 두통, 구토, 충혈등의 증상을 호소하지만, 대부분의 녹내장을 차지하는 만성 녹내장은 증상이 없어 늦게 발견되기 쉽습니다.
녹내장 증상

녹내장 정밀검사

녹내장 진단을 위해 주로 광교연세안과에서 주로 사용하는 진단 방법들입니다.
  • 세극등 전안부 검사 (Slit-lamp)
  • 정밀안압검사
    (Goldmann applanation tomometer)
  • 우각경 검사 (Gonioscopy)
  • 시신경촬영 검사 (Disc photography)
  • 망막신경섬유층촬영 (Retinal nerve fiber photography)
  • Humphrey 시야 검사
  • 안구단층촬영 검사
    (Optical Coherent Tomography)
  • 중심각막두께 검사
    (Central Corneal Thickness)
  • Pentacam을 이용한 안축장 검사
  • 세극등 전안부 검사세극등 전안부 검사 (Slit-lamp)
  • 정밀안압검사정밀안압검사
    (Goldmann applanation tomometer)
  • 우각경 검사우각경 검사
    (Gonioscopy)
  • 시신경촬영 검사시신경촬영 검사
    (Disc photography)
  • 망막신경섬유층촬영망막신경섬유층 촬영
    (Retinal nerve fiber photography)
  • Humphrey 시야 검사Humphrey 시야 검사
      
  • 안구단층촬영 검사안구단층촬영 검사
    (Optical Coherent Tomography)
  • 중심각막두께 검사중심각막두께 검사
    (Central Corneal Thickness)
  • Pentacam을 이용한 안축장 검사Pentacam을 이용한 안축장 검사
      

녹내장 치료 및 관리

녹내장은 한 번 발병하면 완치가 불가능하며, 지속적인 치료를 통해 더이상 나빠지지 않도록 관리하는 것만이 최선의 치료입니다. 따라서 녹내장으로 인한 실명을 막는 가장 좋은 방법은 정기적인 녹내장 검진으로 조기에 발견하여 치료하는 것 뿐입니다. 녹내장이 진단되면 녹내장의 종류와 안압조절 정도에 따라 약물치료, 레이저치료, 수술적 치료를 받게 됩니다. 녹내장치료이미지

광교연세안과 녹내장 클리닉 소개

조정우 원장
서울아산병원 녹내장/백내장 분과 임상교수
공안과 병원 녹내장센터 과장
강남 밝은세상안과 녹내장 책임의
한국 녹내장학회 정회원
2009년 미국안과학회(AAO, 샌프란시스코)에서 녹내장 "Characteristics of visual field progression in normal-tension glaucoma with unstable ocular perfusion pressure"라는 주제로 구연발표
TOP